Description:Rabbit polyclonal antibody to ATG4AImmunogen:KLH-conjugated synthetic peptide encompassing a sequence within the center region of human ATG4A. The exact sequence is proprietary.Purification:The antibody was purified by immunogen affinity chromatography.Clonality:PolyclonalForm:Liquid in 0.42% Potassium phosphate, 0.87% Sodium chloride, pH 7.3, 30% glycerol, and 0.01% sodium azide.Dilution:WB (1/500 - 1/1000), IH (1/50 - 1/100), IF/IC (1/100 - 1/500)Gene Symbol:ATG4AAlternative Names:APG4A; AUTL2; Cysteine protease ATG4A; AUT-like 2 cysteine endopeptidase; Autophagin-2; Autophagy-related cysteine endopeptidase 2; Autophagy-related protein 4 homolog A; hAPG4A
Entrez Gene (Human):
115201;
Entrez Gene (Mouse):
666468;
SwissProt (Human):
Q8WYN0;
SwissProt (Mouse):
Q8C9S8;
Storage/Stability:Shipped at 4°C. Upon delivery aliquot and store at -20°C for one year. Avoid freeze/thaw cycles.
-
Western blot analysis of ATG4A expression in HCT116 (A), HepG2 (B), CT26 (C), PC12 (D) whole cell lysates. (Predicted band size: 45 kD; Observed band size: 60 kD) -
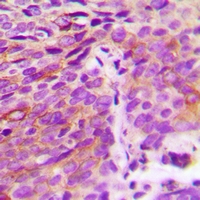
Immunohistochemical analysis of ATG4A staining in human breast cancer formalin fixed paraffin embedded tissue section. The section was pre-treated using heat mediated antigen retrieval with sodium citrate buffer (pH 6.0). The section was then incubated with the antibody at room temperature and detected using an HRP conjugated compact polymer system. DAB was used as the chromogen. The section was then counterstained with haematoxylin and mounted with DPX. -
Immunofluorescent analysis of ATG4A staining in A549 cells. Formalin-fixed cells were permeabilized with 0.1% Triton X-100 in TBS for 5-10 minutes and blocked with 3% BSA-PBS for 30 minutes at room temperature. Cells were probed with the primary antibody in 3% BSA-PBS and incubated overnight at 4 °C in a hidified chamber. Cells were washed with PBST and incubated with Alexa Fluor 647-conjugated secondary antibody (red) in PBS at room temperature in the dark.


Datasheet
MSDS