Description:Rabbit polyclonal antibody to TBK1 (Phospho-S172)Immunogen:KLH-conjugated synthetic phosphopeptide corresponding to residues surrounding S172 of human TBK1 protein. The exact sequence is proprietary.Purification:The antibody was purified by immunogen affinity chromatography.Clonality:PolyclonalForm:Liquid in 0.42% Potassium phosphate, 0.87% Sodium chloride, pH 7.3, 30% glycerol, and 0.01% sodium azide.Dilution:WB (1/500 - 1/1000), IH (1/50 - 1/100)Gene Symbol:TBK1Alternative Names:NAK; Serine/threonine-protein kinase TBK1; NF-kappa-B-activating kinase; T2K; TANK-binding kinase 1
Entrez Gene (Human):
29110;
Entrez Gene (Mouse):
56480;
SwissProt (Human):
Q9UHD2;
SwissProt (Mouse):
Q9WUN2;
Storage/Stability:Shipped at 4°C. Upon delivery aliquot and store at -20°C for one year. Avoid freeze/thaw cycles.
-
Western blot analysis of TBK1 (Phospho-S172) expression in rat testis (A), SGC7901 (B), EC9706 (C), A549 (D), 3T3L1 (E) whole cell lysates. (Predicted band size: 83 kD; Observed band size: 83 kD) -
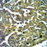
Immunohistochemical analysis of TBK1 (Phospho-S172) staining in human ovarian cancer formalin fixed paraffin embedded tissue section. The section was pre-treated using heat mediated antigen retrieval with sodium citrate buffer (pH 6.0). The section was then incubated with the antibody at room temperature and detected using an HRP conjugated compact polymer system. DAB was used as the chromogen. The section was then counterstained with haematoxylin and mounted with DPX. -
Direct ELISA antibody dose-response curve using Anti-TBK1 (Phospho-S172) Antibody. Antigen (Phosphopeptide and non-phosphopeptide) concentration is 5 ug/ml. Goat Anti-Rabbit IgG (H&L) - HRP was used as the secondary antibody, and signal was developed by TMB substrate.


Datasheet
MSDS