Description:Rabbit polyclonal antibody to ID2Immunogen:Recombinant fusion protein of human ID2. The exact sequence is proprietary.Purification:The antibody was purified by immunogen affinity chromatography.Clonality:PolyclonalForm:Liquid in 0.42% Potassium phosphate, 0.87% Sodium chloride, pH 7.3, 30% glycerol, and 0.01% sodium azide.Dilution:WB (1/500 - 1/2000), IH (1/50 - 1/200)Gene Symbol:ID2Alternative Names:BHLHB26; DNA-binding protein inhibitor ID-2; Class B basic helix-loop-helix protein 26; bHLHb26; Inhibitor of DNA binding 2
Entrez Gene (Human):
3398;
Entrez Gene (Mouse):
15902;
Entrez Gene (Rat):
25587;
SwissProt (Human):
Q02363;
SwissProt (Mouse):
P41136;
SwissProt (Rat):
P41137;
Storage/Stability:Shipped at 4°C. Upon delivery aliquot and store at -20°C for one year. Avoid freeze/thaw cycles.
-
Western blot analysis of ID2 expression in mouse lung (A) whole cell lysates. (Predicted band size: 14 kD; Observed band size: 15 kD) -
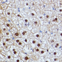
Immunohistochemical analysis of ID2 staining in mouse liver formalin fixed paraffin embedded tissue section. The section was pre-treated using heat mediated antigen retrieval with sodium citrate buffer (pH 6.0). The section was then incubated with the antibody at room temperature and detected using an HRP conjugated compact polymer system. DAB was used as the chromogen. The section was then counterstained with haematoxylin and mounted with DPX.


Datasheet
MSDS