Welcome to Cohesion Biosciences
Home> Products > Primary Antibody
CPA6020
  • Western blot analysis of CD11b expression in SHSY5Y (A), U87MG (B), A549 (C) whole cell lysates. (Predicted band size: 127 kD; Observed band size: 170 kD)
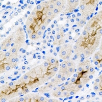
  • Immunohistochemical analysis of CD11b staining in human kidney formalin fixed paraffin embedded tissue section. The section was pre-treated using heat mediated antigen retrieval with sodium citrate buffer (pH 6.0). The section was then incubated with the antibody at room temperature and detected using an HRP conjugated compact polymer system. DAB was used as the chromogen. The section was then counterstained with haematoxylin and mounted with DPX.
Product Name:Anti-CD11b Antibody
Cat No:CPA6020
Source:Rabbit
Reactivity:H
Applications:WB, IH
*Application Key:
H - Human, M - Mouse, R - Rat, B - Bovine, C - Chicken, D - Dog, G - Goat, Mk - Monkey, P - Pig, Rb - Rabbit, S - Sheep, Z - Zebrafish
*Species Reactivity Key:
E- ELISA, WB - Western blot, IH - Immunohistochemistry, IF - Immunofluorescence, FC - Flow cytometry, IC - Immunocytochemistry, IP - Immunoprecipitation, ChIP - Chromatin Immunoprecipitation, EMSA - Electrophoretic Mobility Shift Assay, BL - Blocking, SE - Sandwich ELISA, CBE - Cell-based ELISA, RNAi - RNA interference
Size
Price(USD)
200 μl
350
100 μl
220
30 μl
110
50 μl
150
Add to cart Ship in 3 days My orders
Description:Rabbit polyclonal antibody to CD11b
Immunogen:KLH-conjugated synthetic peptide encompassing a sequence within the center region of human CD11b. The exact sequence is proprietary.
Purification:The antibody was purified by immunogen affinity chromatography.
Clonality:Polyclonal
Form:Liquid in 0.42% Potassium phosphate, 0.87% Sodium chloride, pH 7.3, 30% glycerol, and 0.01% sodium azide.
Dilution:WB (1/500 - 1/1000), IH (1/50 - 1/200)
Gene Symbol:ITGAM
Alternative Names:CD11B; CR3A; Integrin alpha-M; CD11 antigen-like family member B; CR-3 alpha chain; Cell surface glycoprotein MAC-1 subunit alpha; Leukocyte adhesion receptor MO1; Neutrophil adherence receptor; CD11b
Entrez Gene (Human): 3684;
SwissProt (Human): P11215;
Storage/Stability:Shipped at 4°C. Upon delivery aliquot and store at -20°C for one year. Avoid freeze/thaw cycles.
  • Western blot analysis of CD11b expression in SHSY5Y (A), U87MG (B), A549 (C) whole cell lysates. (Predicted band size: 127 kD; Observed band size: 170 kD)
  • Immunohistochemical analysis of CD11b staining in human kidney formalin fixed paraffin embedded tissue section. The section was pre-treated using heat mediated antigen retrieval with sodium citrate buffer (pH 6.0). The section was then incubated with the antibody at room temperature and detected using an HRP conjugated compact polymer system. DAB was used as the chromogen. The section was then counterstained with haematoxylin and mounted with DPX.
COHESION BIOSCIENCES LIMITED
Copyright © 2022 Cohesion Biosciences. All Rights Reserved